Algunas personas tienen temor de las reacciones que podría provocar la vacuna de Covid-19, por ello, muchas decidieron no ponerse ninguna dosis; por ello, científicos decidideron demostrar las afecciones en los pulmones que deja la enfermedad en las personas no vacunadas.
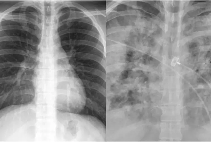
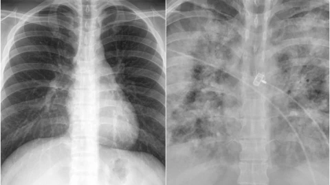
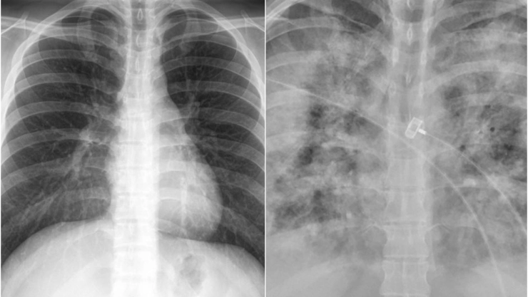
Faheem Younus, jefe del departamento de enfermedades infecciosas de la Universidad de Maryland, realizó una comparación con radiografías de pulmones de las personas no vacunadas contra las que sí se inyectaron contra el Covid-19.
Te puede interesar: ¿Aplicar o no una tercera dosis contra Covid-19? Esto dijo la OMS
En las imágenes que compartió en su cuenta de Twitter, Faheem Younus explicó que con la vacuna de Covid-19 se puede contraer la enfermedad, sin embargo, esta es generalmente leve, en comparación de las personas no vacunadas, que incluso llegan a la Unidad de Cuidados Intensivos (UCI).
Con la radiografía de los pulmones de personas no vacunadas y las que sí, el científico busca generar conciencia en la población para que se vacune, ya que puede ser la diferencia entre salvar la vida y no.
Sí. Puede contraer Covid-19 después de la vacunación, pero generalmente es una enfermedad leve.
Yes. You can get COVID after vaccination but it’s typically mild disease
— Faheem Younus, MD (@FaheemYounus) July 18, 2021
With Without
Vaccination Vaccination pic.twitter.com/GIcb5mJQz9
¿Qué pasa con las personas no vacunadas contra el Covid-19?
Estudios científicos del mundo demuestran que las vacunas contra Covid-19 son seguras y protegen contra un cuadro de enfermedad grave, de acuerdo con el portal del gobierno de México .
Debido a que la eficacia de la vacuna no es del 100%, algunas personas podrían infectarse, tiempo después de la vacunación; sin embargo, aun fallando, la vacuna disminuye la gravedad de la enfermedad y el riesgo de morir.
En México, la vacunación universal contra Covid-19, además de ser gratuita, permitirá proteger a la población de la enfermedad y de acuerdo con el portal del gobierno, será la "única manera de regresar a la normalidad".
Por ello, se recomienda a las personas no vacunadas que acudan a su módulo más cercano, ya que así no solo se protegen a ellos sino a su círculo cercano, como familia y amigos.
De acuerdo con la Secretaría de Salud de México, la tercera ola de contagios de Covid-19 se presenta en personas menores de 52 años y aseguró que el 97% de los hospitalizados son personas no vacunadas.
Te puede interesar: CDMX detecta aumento de Covid-19 en niños; algunos hospitalizados
